
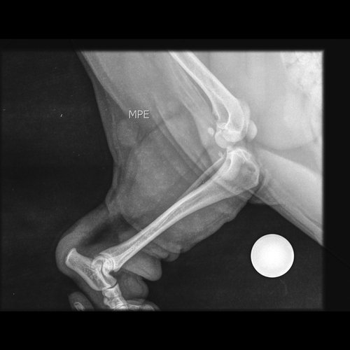
Meu nome é Gedilson, estou fazendo esta vaquinha para fazer a cirurgia do Thor (Lhasa Apso) que pulou da cadeira e teve uma fratura na perna esquerda traseira (exames abaixo). no hospital público aqui de Santo André não foi possível fazer pois não tinham as ferramentas necessárias que segundo eles custam 18 mil reais.
Então vamos ter que fazer a cirurgia dele em até 30 dias para não afetar a outra perna e coluna.
Este valor será para pagar a cirurgia e os remédios necessários para a recuperação dele, quem puder ajudar que Deus abençoe muito!





