
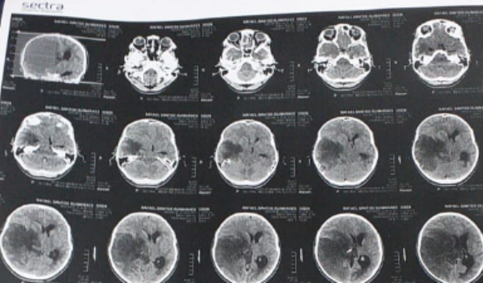
criei essa vaquinha no intuito de arrecadar dinheiro para o tratamento do meu sobrinho. ele se chama Rafael tem 14 anos e está com câncer no cérebro. Ele precisa fazer uma cirurgia de emergência em são Paulo. precisamos arrecadar R$10000,00 (dez mil reais)